Contenido

El adenoma hipofisario ocurre en el 20% de las personas
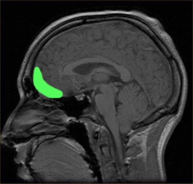
La glándula pituitaria del tamaño de un guisante se encuentra en la base del cerebro, en la silla turca. A pesar de su pequeño tamaño, es el principal órgano endocrino, regulando casi todas las demás glándulas endocrinas.
Los adenomas hipofisarios son comunes y se pueden detectar en aproximadamente el 20 % de las personas mediante imágenes de resonancia magnética. Estos son tumores que surgen en las células de la glándula pituitaria. En el 99,9% de los casos, al examen histológico son benignos, pero pueden tener un curso maligno.
Dado que el cráneo es una cavidad cerrada que no se puede «estirar», los tumores en crecimiento comienzan a comprimir los tejidos circundantes. Como saben, los órganos importantes se encuentran en el cráneo: el cerebro, los ojos, los nervios craneales y la presión sobre ellos se expresa mediante ciertos síntomas neurológicos.
Afortunadamente, más del 80% de los adenomas hipofisarios tienen un tamaño <3 mm y rara vez comprimen el tejido circundante. Según el tamaño de los tumores se dividen en microadenomas (menos de 10 mm) y macroadenomas (más de 10 mm). Pueden ser hormonalmente activos y producir prolactina, hormona del crecimiento, hormona estimulante de la tiroides (TLC), hormona adrenocorticotrópica (ACTH) y, muy raramente, hormonas gonadotrópicas (hormona luteinizante y estimulante del folículo).
Los tumores no secretores son los más frecuentes (más del 60% de los casos), seguidos de los prolactinomas, que suponen el 70-80% de los adenomas secretores.
Los síntomas del adenoma hipofisario están asociados, por un lado, con el propio crecimiento del tumor y, por otro, con la hormona que producen. Los microadenomas hormonalmente inactivos rara vez muestran síntomas y con mayor frecuencia se encuentran de manera incidental durante los estudios de imágenes de la cabeza.
Con los macroadenomas, aumenta el riesgo de compresión de las estructuras circundantes, y uno de los síntomas más comunes es el dolor de cabeza. La presión sobre los nervios ópticos conduce a un defecto específico en el campo visual, con pérdida de la visión periférica. Cuando es bidireccional, parece que va a través de un túnel. Si el tumor crece lateralmente, puede provocar trombosis de los senos cavernosos o paresia de los nervios excitatorios. Con la invasión de las estructuras óseas, es posible la salida de líquido cefalorraquídeo de la nariz.
La presión del tumor sobre el tejido pituitario sano, a su vez, conduce a una pérdida de su secreción hormonal y, en consecuencia, al hipopituitarismo.
Inicialmente, la función gonadal se ve afectada por el hipogonadismo: pérdida de la libido, falta de menstruación, infertilidad, etc. La secreción de TLC generalmente se reduce en el hipotiroidismo. Finalmente, queda uno de los ejes más importantes, a saber, las glándulas suprarrenales, con manifestaciones de hipocorticismo. Si no se trata rápidamente con corticosteroides, puede ser fatal.

Los tumores hormonalmente activos se manifiestan por síntomas de sobreproducción hormonal.
El más común es el prolactinoma, que causa hipogonadismo, infertilidad y secreción mamaria (galactorrea). Con el aumento de la secreción de la hormona del crecimiento, se observa gigantismo o acromegalia, con agrandamiento de partes de la cara, extremidades y extremidades internas. El aumento de la secreción de ACTH se manifiesta por el síndrome de Cushing (hipercorticismo). Los tumores que producen TLC son muy raros. Se caracterizan por hipertiroidismo y tirotoxicosis.
Cuando se diagnostica un adenoma hipofisario, antes de decidir su tratamiento, es necesario determinar si es hormonalmente activo o no. A menudo, el cuadro clínico es una guía, pero se deben realizar una serie de pruebas hormonales. También ayudan a evaluar la reserva hormonal de una glándula pituitaria sana en macroadenomas. Suele recetarse prolactina (como la más común) e IGF-1 (un marcador que refleja el aumento de la secreción de la hormona del crecimiento). Si se sospecha hipopituitarismo, también se examinan otras hormonas hipofisarias y de las glándulas diana. La evaluación del estado de los ojos también es necesaria para el estudio del fondo de ojo y la realización de perimetría computarizada, que muestra defectos en los campos visuales.
Según la información recopilada, se toma la decisión de tratar el tumor con medicamentos, cirugía o radioterapia. Los prolactinomas, incluso los grandes, se pueden tratar con medicamentos, mientras que en otros casos es preferible un abordaje quirúrgico. En la práctica, esta ya es una operación de rutina, preferiblemente un método monoscópico mínimamente invasivo con acceso transesfenoidal (a través de la cavidad nasal).















